沖縄|那覇|泉崎ファミリー歯科|インプラント|矯正|セラミック審美歯科

ダイレクトボンディングとは
歯を削らず、自然に美しく。

コンポジットレジンを
歯に直接盛り付け、
色・形・質感を整える
審美修復治療です。

ダイレクトボンディングとは?

ダイレクトボンディングの解説

ダイレクトボンディングとは、歯科用プラスチック素材(コンポジットレジン)を歯の表面に直接貼り付け・形成することで、歯の色・形・すき間を修復・改善する審美歯科治療です。

歯を大きく削らず、1回の来院で仕上がるのが最大の特徴です。

虫歯治療の詰め物としても使われる素材ですが、審美目的での応用では、歯の色に合わせて複数のシェードを繊細に重ね、天然歯に限りなく近い自然な仕上がりを実現します。

セラミック治療と比較すると費用が抑えられ、歯を削る量も最小限。歯にやさしい治療として注目されています。

症例写真
すきっ歯改善

※ 患者様の許可を得て掲載させていただいております。

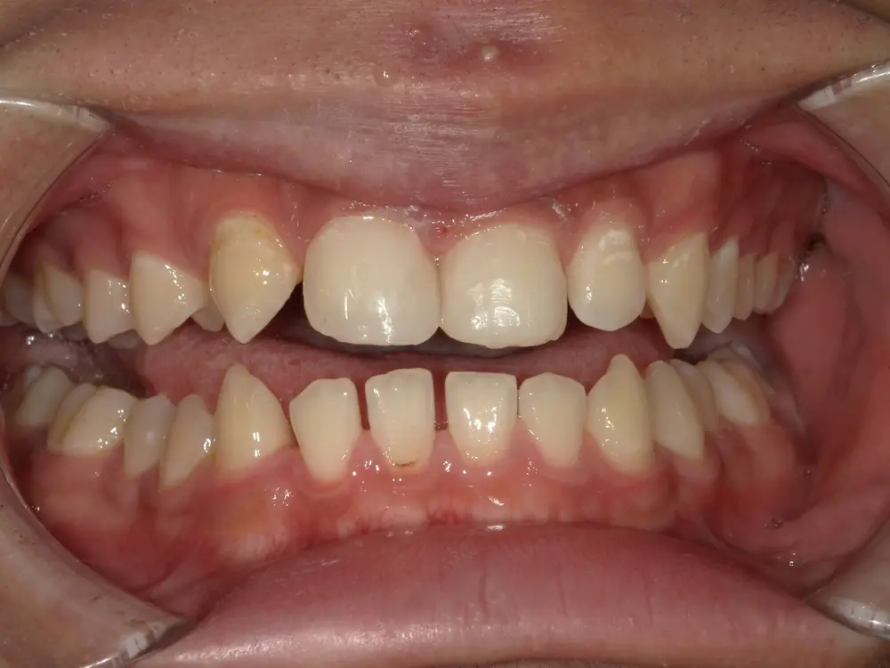
Aさん ビフォー

ダイレクトボンディング ビフォー写真

Aさん アフター

ダイレクトボンディング アフター写真

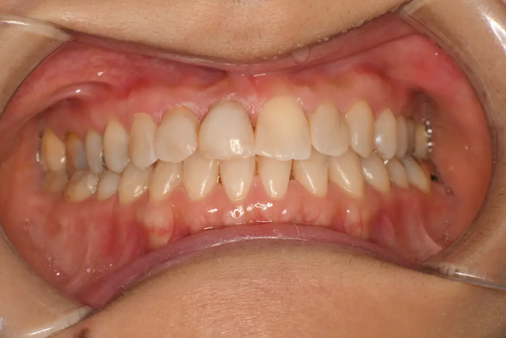
Bさん ビフォー

ダイレクトボンディング ビフォー写真

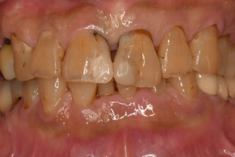
Bさん アフター

ダイレクトボンディング アフター写真

Cさん ビフォー

ダイレクトボンディング ビフォー写真

Cさん アフター

ダイレクトボンディング アフター写真

ダイレクトボンディングの費用

小さな修復

小さな欠け・すき間・
初期虫歯の修復に

¥18,000

税込(自費診療)

広範囲の修復

広範囲・形態改善・
審美的な仕上がりを求める方に

¥27,000

税込(自費診療)

※ 上記は自費診療の料金です。保険適用の場合は別途ご案内いたします。 

※ 治療の範囲・部位により「小」「大」を担当医師が判断いたします。

※ 初診料・検査料は別途かかります。